“I don’t like the shape and the color of my two front teeth”, said the young lady
–Two existing crowns replaced with new full zirconia crowns–


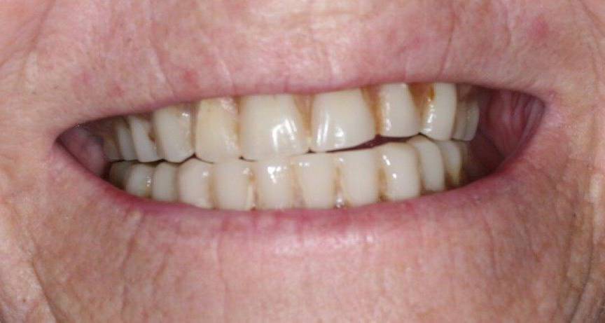
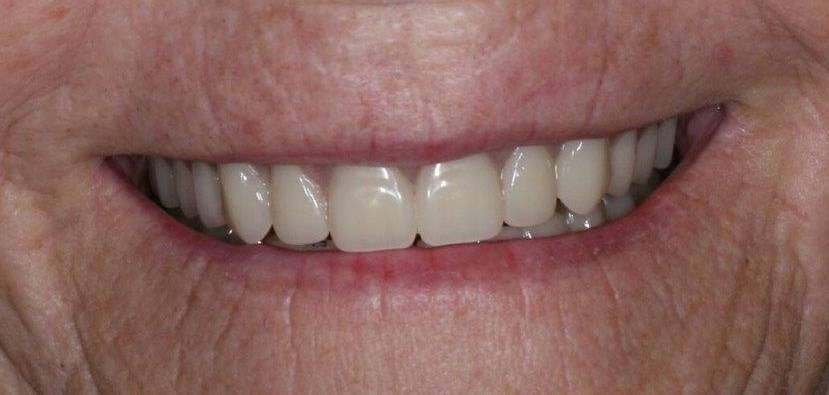
Bright, new, white smile for 66 years old lady


Young lady with new bright & healthy smile New confident, bright and healthy smile
restored with zirconia fused to porcelain crown. (9 upper teeth restored) Smile makeover!


Before and After 4 Porcelain Crowns


4 front teeth restored with zirconia crowns and overlapped decay teeth corrected


Full mouth restoration with complete upper and lower dentures


2 new crowns restored front upper right


Implant plus new crown No tooth vs. New crown supported by single implant


3 new crowns on lower anterior Replaced decayed and broken teeth on the bottom with porcelain fused to zirconia crowns


Upper Valplast denture with no metal clasps


Invisalign


Orthodontic treatment with Invisalign Before and After


Before and After Invisalign Treatment


NVISALIGN TREATMENT LESS THAN 20WKS


Patient broke her front tooth Broken tooth replaced with Zirconia fused to Porcelain Crown


Two old gold crown replaced with new zirconia porcelain crowns on lower front teeth


Full upper denture and full lower denture supported with 2 implants


New immediate upper partial denture with no metal clasp


Missing tooth replace with 3 unit bridge Before and after


Chipped front tooth restored with composite filling material. (20min. procedure without anesthetics and without pain)


3 unit full zirconia bridge Before and After


6 anterior single zirconia crowns Before and After


4 anterior teeth restored with full zirconia (non metal) crowns Before and After


Dental Implant Restorations








Before and After Pics





















































